Hoş Geldiniz
Hızlı ve güvenli alışverişe giriş yapın!
Henüz Üye Değil Misiniz?
Kolayca üye olabilirsiniz!

Kist tümör farkı diş

21-03-2024 18:42
Kist tümör farkı diş

Bilimsel olarak tam olarak çene ağız kanserlerinin nedenleri bilinmesede bazı önlemler alınması için tavsiyeler bulunmaktadır.

Genel olarak alkol tüketimi,sigara,bozuk ağız hijyeni, hatalı yapılan kron diş köprüleri , aşırı diş çürükleri , güneş ışınları , vitmanin eksikliği ve Ağız bölgesinde oluşan virüsler ile bu tür ağzı kanseri oluşabilmektedir.

Kist tümör farkı diş oluşmasının nedenleri

  • Çevresel faktörler
  • İrsiyet
  • Çoğrafik
  • Mesleki faktörler

İlk tespiti genel olarak hastaların farketmesi gerekmektedir. Genellikle ağız içerisinde oluşan kırmızı veya beyaz noktalar ile farkedilerek doktora başvurulmalıdır.

Bu tür farketmeler sayesinde erkenden işlem yapılmaktadır.

Dilimizde yada dudaklarda oluşan rahatsız edici uyuşukluk , çürük dişin çekilmesi sonucu diş etinin iyileşmemesi , ağızda oluşan nedensiz kokular ve kanama olan dişlerin yanı sıra gibi bulgular ile erken tespit yapılabilmektedir.

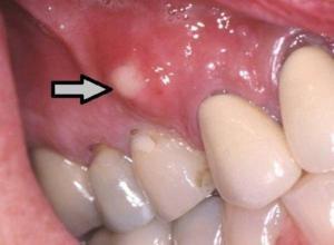
Kist tümör farkı diş
Kist oluşmuş diş eti

Ağız ve çenede kist olduğu farkeden kişiler öncelik olarak en yakın sağlık hekimine yada diş doktoruna görünmelidir.

Genellikle, çene kist keşfedilmesi röntgen aletleri yardımcı olmaktadır.

Çene tespit edilen kist sonucu uzman bir doktora sevk edilerek tedava süreci başlamaktadır.

Nedenler

Odontojenik çene tümörleri ve kistler, normal diş gelişiminde yer alan hücre ve dokulardan kaynaklanır. 

Çeneleri etkileyen diğer tümörler nonodontojenik olabilir, yani kemik veya yumuşak doku hücreleri gibi çenelerdeki dişlerle ilgili olmayan diğer dokulardan gelişebilirler. 

Genellikle çene tümörlerinin ve kistlerinin nedeni bilinmez; ancak bazıları gen değişiklikleri (mutasyonlar) veya genetik sendromlarla ilişkilidir.

Gorlin-Goltz sendromu olarak da adlandırılan nevoid bazal hücreli karsinom sendromu olan kişilerde, tümörleri baskılayan bir gen yoktur. 

Sendroma neden olan genetik mutasyon kalıtsaldır. 

Bu sendrom, çenelerde çoklu odontojenik keratokistlerin, çoklu bazal hücreli deri kanserlerinin ve diğer özelliklerin gelişmesine neden olur.

IdeaSoft® | E-Ticaret paketleri ile hazırlanmıştır.